PROCEDIMIENTOS INTERVENCIONISTAS ECOGUIADOS EN HOMBRO DOLOROSO

ARTICULO ORGINAL

Dr. Gustavo Figueredo Casadei *

RESUMEN

INTRODUCCION

El hombro doloroso en una de las causas más comunes de dolor osteoarticular, con importante afectación de la calidad de vida. Cuando el tratamiento médico falla, se realizan infiltraciones habitualmente a ciegas. Las infiltraciones ecoguiadas, aportan varias ventajas con respecto a éstas.

OBJETIVO

Evaluar la utilidad de la guía ecográfica en tiempo real, en la realización de los procedimientos analgésicos terapéuticos más comunes en el hombro y describir las técnicas.

MATERIAL Y MÉTODOS

Estudio de tipo descriptivo, retrospectivo. Durante un período de tiempo de 27 meses se realizaron 78 infiltraciones ecoguiadas de hombro, en pacientes afectados de hombro doloroso, de más de un mes de evolución y con tratamiento médico ineficaz.

RESULTADOS

En el 100% de los casos se pudo administrar la medicación en el lugar correcto, y en 70% de los casos existió alivio inmediato del dolor.

CONCLUSIONES

La guía ecográfica es un procedimiento altamente eficaz en el sindrome de hombro doloroso.

Palabras clave: Dolor crónico, Omalgia, Ultrasonografía, Infiltración articular, Guía ecográfica.

ABSTRACT

INTRODUCTION

Chronic shoulder pain is one of the most frequent causes of musculoskeletal pain, with important consequences in patient life quality. When medical treatment fails, there is indication for shoulder infiltration, usually performed in a blind manner. Ultrasound-guided (US-guided) infiltrations have many advantages with respect to the latter.

OBJECTIVE

The goal of this paper is to evaluate the usefulness of real-time ultrasound guidance in the most common therapeutic analgesic procedures and to describe the different techniques.

MATERIALS AND METHODS

This is a retrospective, descriptive study. 78 US-guided shoulder infiltrations, in patients with shoulder pain for longer than a month and inefficient medical treatment were performed in a 27-month period.

RESULTS

In all cases drugs were delivered to the right place and 70% of patients had immediate pain relief.

CONCLUSIONS

US guidance is a highly effective procedure in the painful shoulder.

Key words: Sonography, Cronic pain, Local corticosteroid inyection, Ultrasound guided.

INTRODUCCIÓN

La omalgia crónica es una de las consultas más frecuentes en patología osteomuscular. Afecta a un amplio rango etario, y genera importante limitación funcional, con severa afectación de la calidad de vida. Dada lo compleja de la anatomía del hombro, el dolor puede ser de variado origen, ya sea propiamente articular, o periarticular, siendo éste por lejos el más frecuente.(1.2) Cuando los tratamientos médicos y/o fisioterápicos han fallado, se plantean alternativas intervencionistas como las infiltraciones, realizadas habitualmente mediante guía palpatoria o a ciegas. La ecografía se ha impuesto como un método de diagnóstico muy extendido en la evaluación del hombro, de excelente sensibilidad y especificidad.(3) Por otra parte, se ha posicionado también como un método de gran valor en la guía de infiltraciones en tiempo real tanto en hombro, como otras estructuras. Es así que el imagenólogo asiste muchas veces a pacientes con omalgias intensas y persistentes, realizando un diagnóstico, y teniendo además, la capacidad de realizar un procedimiento que aliviará rápidamente Premio mejor trabajo original XII Congreso de Imagenología 60 Rev. Imagenol. 2da Ep. Ene./Jun. 2018 XXI (2): al paciente. El objetivo fundamental de este trabajo es entonces mostrar desde la perspectiva del imagenólogo, la utilidad de la guía ecográfica en tiempo real, en la realización de los procedimientos analgésicos terapéuticos más comunes en el hombro, con la descripción de dichos procedimientos.

MATERIAL Y MÉTODOS

Estudio de tipo descriptivo, retrospectivo. Durante un período de 27 meses, comprendidos entre marzo del año 2015 y junio del año 2017, se realizaron 78 procedimientos intervencionistas ecoguiados en hombro. El rango de edades se ubicó entre 44 y 80 años, y la distribución por sexo comprendió a 60 pacientes de sexo femenino y 18 de sexo masculino. Los criterios de selección fueron pacientes a los que se solicitaron ecografías de hombro, referidos desde policlínica de traumatología en su mayoría, por omalgia persistente de más de un mes de evolución, con tratamiento médico y/o fisioterápico infructuoso, y mal reposo nocturno.

Los criterios para la infiltración de la bursa Sub Acromio Sub Deltoidea (SASD) fueron: a) elementos ecográficos de bursitis dados por distensión bursal con detritus y proliferación sinovial. B) signos ecográficos de tendinosis y/o rotura del supraespinoso, sumados a elementos clínicos de afectación de dicho tendón frente a las maniobras dinámicas. Escapa al contenido de este trabajo la descripción de estas pruebas. En cuanto a la infiltración de la Porción Larga del Bíceps (PLB), fueron: pérdida de su forma habitual ovoidea al corte transverso adquiriendo forma circular, con líquido ecogénico peritendíneo, dolor a la compresión con el transductor, y dolor frente a maniobras dinámicas. Para la articulación Articulación Acromio Clavicular (ACC): fueron dolor a la compresión con el transductor, con distensión de la cápsula articular y maniobras de abducción, y finalmente en la subcoracoidea fueron dolor y ocupación de esta bursa.

Todos los procedimientos fueron realizados por el mismo operador, con experiencia previa en intervencionismo guiado por ecografía. Se utilizaron en todos los casos, ecógrafos de alta resolución, (Toshiba Aplio 300, Sonoscape S2), con transductores lineales de banda ancha y frecuencias variables entre 8-12Mhz, ajustadas según el espesor de los tejidos blandos del paciente. En algunas ocasiones se disminuyó el rango dinámico del equipo con el fin de hacer más visible a la aguja de punción. Los equipos no contaban con software de realce de la aguja. Se interrogaron a los pacientes por eventuales discrasias sanguíneas y antecedentes de alergias a anestésicos locales. Los fármacos empleados fueron: anestésicos locales, lidocaína al 0.5% o 1%, en cantidades de1 o 2cc, y Ropivacaína 2mg/ml en iguales cantidades. En algunos casos se sustituyó la Ropivacaína por Bupivacaína al 0.25%. También y en la misma jeringa se mezclaron corticoesteroides, Triamcinolona 2mg/ml (Ioncort) o Betametasona fosfato/ Betametasona propionato (Dimacort depot) 2mg total, según disponibilidad. Se emplearon jeringas de 5 o 10cc, con agujas 1 y ½ pulgadas, calibre 25g, o 25g, 2 pulgadas. La Triamcinolona posee un mayor volumen, por lo que requirió en ocasiones emplear jeringas de 10cc. El volumen a administrar de la mezcla dependió del sitio, requiriendo el mayor volumen la bursa SASD, y el menor volumen la articulación ACC. Típicamente la infiltración de la bursa SASD requirió 3-5cc de volumen total, y la PLB y articulación ACC 1o 2cc máximo. Preferentemente en la articulación ACC se empleó jeringa con cierre de rosca (Luer Lock), dado la importante presión que se necesitó emplear.


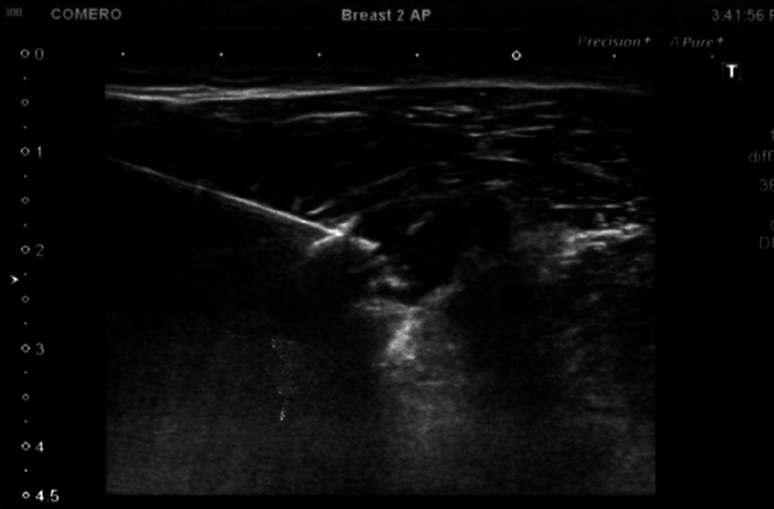
Foto 1
Se observa la aguja dentro de la bursa SDAD, con una fina lámina de líquido creada por los fármacos administrados. Superficial a dicha lámina se encuentra el músculo deltoides, y subyacente a la misma el tendón del supraespinoso.

Los procedimientos se realizaron bajo condiciones de asepsia habituales, con desinfección de piel con clorhexidina alcohólica al 0.5 %. No se empleó gel estéril, ni funda de protección de los transductores, ya que el sitio de punción se ubicó a dos centímetros del mismo, evitando así que la aguja estéril contactara con el transductor. (4) La solución desinfectante actuó a manera de gel trasmisor de ultrasonido. Todos los procedimientos se realizaron con guía ecográfica en tiempo real mediante la modalidad “mano libre”, y “en plano” con visualización de la punta de la aguja en todo momento. Para la realización de la infiltración de bursa SASD, los pacientes se ubicaron en decúbito supino, con la mano del brazo a infiltrar debajo de cadera homolateral. Se ubicó el sector bursal más próximo a la piel, de manera de minimizar el dolor con el menor trayecto posible de la aguja. (5-11)


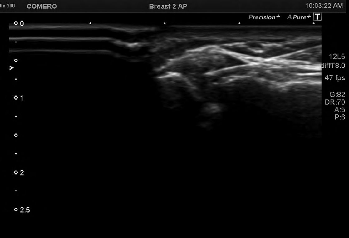
Foto 2
Punta de la aguja dentro la vaina de la PBL. Existe un sector ecogénico en la parte superior producido por pequeñas cantidades de aire que pasaron inadvertidamente junto con los fármacos inyectados.
El trayecto de la aguja es el correcto, desde el sector lateral al medial, evitando puncionar los vasos arteriales circunflejos.

La infiltración de la PLB, se realizó también en decúbito supino, con visualización de la misma en un plano transverso y aproximación lateral hacia medial, con empleo de doppler color, de manera de identificar la arteria circunfleja anterior y evitar punciones accidentales. (5-11)
Finalmente, para la articulación ACC, también en decúbito supino, se ubicó el transductor transversal o paralelo a la articulación, de manera para poder observar el extremo de la aguja al penetrar en la cápsula articular. (5-11)


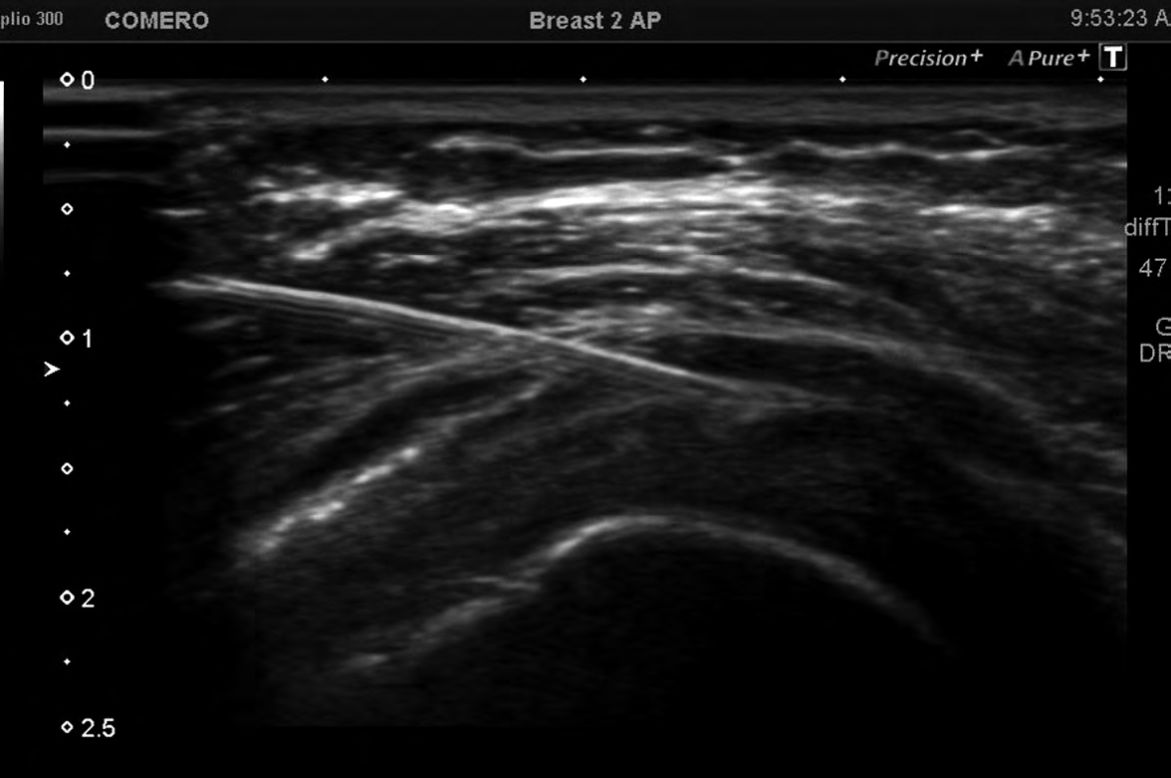
Foto 3
Punta de la aguja dentro de la articulación. Se eligió el abordaje en forma transversa. Como se ve, es una articulación pequeña, por lo que se debe administrar escasa cantidad de fármacos. Luego del procedimiento se indicó a todos los pacientes reposo funcional de la articulación por 48 horas.

RESULTADOS

Las patologías detectadas fueron: 53 pacientes con tendinosis del supraespinoso asociada o no a ruptura del mismo, 8 pacientes con bursitis subacromiosubdeltoidea (SASD), 3 pacientes artrosis dolorosa de articulación acromioclavicular (ACC), 3 pacientes con tenosinovitis de la porción larga del bíceps (PLB), y 1 paciente con bursitis subcoracoidea. En 10 pacientes no se comprobó patología evidente. (Gráfico 1 patologías)


Los procedimientos que se realizaron fueron: infiltración de bursa SDAD (71 pacientes), infiltración de la PLB (3 pacientes), infiltración de la articulación ACC (3 pacientes), e infiltración de bursa subcoracoidea (1 paciente). (Grafico 2 infiltraciones)


En el 100% de los casos se pudo administrar la medicación en el lugar adecuado. En cuatro pacientes, con hombros voluminosos, se tuvo que cambiar la aguja por otra de mayor longitud. En 70 % de los pacientes hubo un alivio inmediato del dolor, pudiendo realizar movimientos de la articulación, que no podían realizar minutos antes al procedimiento. Se llamaron por vía telefónica en los 5 días posteriores al procedimiento relatando importante acalmia, con buen descanso nocturno, el 90% de los pacientes. En tres pacientes ocurrieron reacciones vasovagales leves, con sudoración y mareos, que remitieron espontáneamente con la elevación de los miembros inferiores, no requiriendo otras medidas. No se registraron otras complicaciones en ningún caso.

DISCUSIÓN

La omalgia u “hombro doloroso” constituye una entidad clínica, de alta frecuencia tanto en la consulta en el primer nivel de atención, como en otras especialidades, tales como: traumatología, reumatología y fisiatría. Es por lo tanto de abordaje multidisciplinario. Puede definirse como un conjunto de síntomas y signos que comprende un grupo heterogéneo de diagnósticos que incluyen alteraciones de los músculos, tendones, nervios, vainas tendinosas, atrapamiento nervioso, y alteraciones articulares y neurovasculares. Debido a esta multiplicidad de orígenes, con presentaciones clínicas similares, el diagnóstico etiológico es difícil, y genera confusiones.

Alrededor del 40% de la población padece de omalgia alguna vez en su vida. Su prevalencia aumenta con la edad, y también en algunas profesiones o actividades deportivas. Es la tercera causa de dolor de origen musculoesquelético, superada solo por el dolor lumbar y la cervicalgia. En EEUU es la tercera causa de incapacidad musculoesquelética.( 1,2) Afecta tanto las actividades diarias, como el reposo nocturno. Un 23 % de todos los casos nuevos se resolverán en un mes, y el 44% a los tres meses de su inicio. En un 40% de los pacientes el dolor persistirá más de un año. La causa de esta persistencia puede deberse a tipo de personalidad, factores ocupacionales etc. 1,2

Las causas más comunes de omalgia son pinzamiento del manguito cortorrotador, con tendinosis y/o roturas asociadas, tendinosis calcificante, tendinosis de la porcíón larga bíceps, artrosis acromioclavicular y capsulitis adhesiva. El tratamiento habitual del hombro doloroso lo inicia el médico general y consiste inicialmente en analgésico simples como el acetaminofén, y también antiinflamatorios de tipo no esteroideos (AINE). Posteriormente se puede complementar con fisioterapia y rehabilitación. Cuando estos tratamientos no han dado resultado, generalmente al cabo de 2 o tres semanas, se solicita la consulta con especialista, quién puede optar por terapias intervencionistas, como las infiltraciones. (1,2)

Este esquema típico secuencial, se basa en el concepto de la escalera analgésica de la OMS, inicialmente pensada para enfermos con cáncer terminal y luego extendida a otros tipos de dolor. Consiste en etapas incrementales según la intensidad del dolor, comenzando con analgésicos menores, luego opioides débiles y finalmente opioides fuertes. Si bien los dolores articulares no tienen los mismos componentes que el dolor neoplásico, este esquema se ha extendido en forma equívoca a estos dolores pudiendo algunos pacientes llegar a recibir opioides débiles en estas patologías.(12) El esquema mencionado de la OMS, se planteó como una orientación genérica y de fácil comprensión y manejo por parte de los médicos de familia. Sin embargo, no se debe interpretar como un esquema rígido, pudiéndose variar según el criterio del médico tratante. Es así que algunos autores consideran a las infiltraciones como el “pasamanos de la escalera” pudiéndose emplear también desde el comienzo del tratamiento. (12)

Es más, la carga medicamentosa de una infiltración, contiene muy pocos fármacos, y prácticamente nula morbilidad. No deben olvidarse los efectos secundarios de los AINE tomados en elevadas dosis y por períodos largos de tiempo, algo que ocurre frecuentemente en este tipo de pacientes (en su mayoría añosos), con sangrados gastrointestinales, insuficiencia renal, hipertensión, etc. (12) El intervencionismo músculo-esquelético y en particular las infiltraciones ecoguiadas, han venido aumentando en número año tras año en todo el mundo, probablemente por la portatibilidad y la baja de los costos de los nuevos equipos de ultrasonido. Son realizadas por varios especialistas como ser: medicina del dolor (anestesistas), reumatólogos, médicos deportólogos, fisiatras e imagenólogos. (7-11,13)

Si bien lo clásico es que sean realizadas a ciegas, con 59 - 66 63 guía palpatoria y basada en reperes óseas, la modalidad ecoguiada gana cada vez más adeptos. Por otra parte las ventajas por sobre la guía fluoroscópica son la ausencia de radiación ionizante, bajo costo, portatibilidad, y la capacidad de visualizar tejidos blandos. (7-10,12,14)

Los argumentos a favor de la guía ecográfica son:

Precisión
En la articulación del hombro y en material cadavérico, se comprobó un 100% una precisión en la localización del fármaco en las articulaciones acromioclavicular, bursa subacromiodeltoidea y porción larga del bíceps, siendo en las mismas por métodos palpatorios, 40%, 63% y 66% respectivamente. (15) Estos resultados coinciden con nuestra casuística, donde se logró también un 100% de precisión.

Seguridad
La ecografía permite controlar en todo momento y en tiempo real el avance de la aguja a través de las partes blandas, lo que evita puncionar vasos sanguíneos tendones y nervios inadvertidamente con las posibles complicaciones. La ayuda del doppler color es de gran utilidad permitiendo rápidamente identificar las arterias susceptibles de punción. Por otra parte, hay una mejora en el confort del paciente, con menor dolor frente a la maniobra, al escoger el trayecto más corto a puncionar. (8,9,12,15)

Eficacia
El principal objetivo de las infiltraciones es aliviar el dolor y mejorar la función. Varios trabajos han demostrado un mayor grado de analgesia y mejora de la movilidad articular del hombro, comparando las infiltraciones ecoguiadas en relación a las infiltraciones a ciegas. (16.17) Sin embargo, Bloom en la Cochrane Database of Systematic Reviews del año del 2012, en una revisión sistemática basada en 5 ensayos de infiltraciones os en hombro guiadas por imágenes comparándolas con infiltraciones a ciegas y además con administración intramuscular en la región glútea ( en decir se consideraron los tres tipos de procedimientos), concluye que no existen ventajas en términos de analgesia, función y rango de movimientos, y que los efectos beneficiosos del corticoide se deben más a su accionar sistémico que local. (18)

Finalmente dos nuevas publicaciones del año 2016, uno de ellos un metanálisis, concluyen mejor evolución clínica, en patología de hombro en la infiltración ecoguiada por sobre la realizada a ciegas.

El fundamento de las infiltraciones ecoguiadas es localizar el sitio donde se encuentra efectivamente la patología o zona diana a tratar, confirmar la localización de la aguja en este sitio, y posteriormente administrar la medicación indicada. (13,15) Existen contraindicaciones absolutas y relativas al procedimiento.( 4)

Las absolutas son: a)infección sistémica o de piel en el área de la punción, dado que se podrían vehiculizar gérmenes y provocar artritis o bursitis séptica. b) alergia a los anestésicos locales, aunque raras pueden existir. Resulta de utilidad interrogar al paciente sobre eventos indeseados en consultas con anestesias odontológicas.

En tanto las contraindicaciones relativas serían: pacientes anticoagulados o consumiendo antiagregantes; lo correcto es tales casos es la consulta al médico tratante para decidir la justificación del procedimiento y decidir conducta en conjunto.
En pacientes diabéticos, es de esperar un aumento de los valores de glicemia debido a los corticoides, por lo que es aconsejable administrar corticoides de depósito de liberación lenta, y disminuir sus dosis al 50%.
Se debe advertir al paciente sobre este aspecto, y aconsejarle que controle la glicemia diariamente por una semana. Ocurre algo similar con la hipertensión, se aconseja control diario por una semana, dado el efecto hipertensivo de los corticoides. (4)
No se deben administrar inyecciones de corticoides más de 3 o 4 veces al año.(4)

Existen algunos efectos secundarios y complicaciones. Los más comunes son reacciones vasovagales leves, como ocurrió en nuestra casuística. Debido a esta causa, siempre preferimos realizar las infiltraciones en decúbito, de manera de evitar caídas con posibles lesiones. Puede ocurrir también enrojecimiento pasajero de la zona 2 o 3 días luego del procedimiento, debido a un efecto secundario causado por los corticoides.(4,7,8,9)

Los fármacos más empleados en las infiltraciones son: a) anestésicos locales, b) corticoides.

a) El fundamento de administrar anestésicos locales, es lograr una analgesia inmediata al lograr una anestesia de la zona infiltrada.

En algunas ocasiones pueden ser administrados como monodrogas, no asociados a corticoides, con el sólo fin diagnóstico al confirmar la zona generadora del dolor. Son fármacos que en concentraciones suficientes en el lugar de acción, impiden la conducción de impulsos eléctricos por las membranas del nervio y músculo en forma transitoria y predecible, originando pérdida de sensibilidad en una región del cuerpo. (21.22)

Esta acción la producen al disminuir la permeabilidad de los canales de sodio, y bloqueando la fase inicial del potencial de acción.
Provocan un bloqueo diferencial de las fibras, bloqueándose en primer lugar las fibras sensitivas y de temperatura y a mayores concentraciones las motoras.
Los más empleados en infiltraciones son: lidocaína, bupivacaína y ropivacaína. Habitualmente las concentraciones son: lidocaína al 1%, bupivacaína al 0.25 %, y ropivacaína 2mg/ml. La lidocaína tiene el comienzo de acción más rápido, casi inmediato, con una duración de hasta 2 horas. La ropivacaína en tanto, comienzo de acción moderado con duración de acción de hasta 4 horas, mientras que la bupivacaína es la de comienzo de acción más tardío, (entre 2 y 10 minutos) pero con mayor duración de acción de hasta 6 horas.

En nuestra experiencia hemos empleado la lidocaína al 0.5%, con iguales resultados analgésicos, logrando una disminución de las dosis del paciente, con mayor seguridad. (23)
Se debe recordar que las máximas dosis de lidocaína están en el orden de 20ml de lidocaína al 1%, de 25ml de bupivacaína al 0.5%, y de ropivacaína 375mg, equivalentes a 187ml en concentraciones de 2mg/ml.
La ropivacaína ofrece un mayor margen de seguridad, con respecto a la bupivacaína, al dar también una anestesia de larga duración, y menor capacidad de bloqueo motor.(24) Debido a estos hechos hemos sustituido a la bupivacaína, por la ropivacaína que también logra una analgesia prolongada, pero a tiene además la ventaja de no dañar los condrocitos de la articulación. (25)
Debemos recordar, que en la roturas del supraespinoso de espesor completo, y más aún las totales, existe una comunicación de la bursa SASD con la articulación, por lo que en estas circunstancias la infiltración se vuelve de hecho “intrarticular”.
No está de más recordar que siempre previo a la inyección del anestésico, se debe aspirar y cerciorarse que no viene sangre a la jeringa, evitando de esta manera una inyección intravascular con el consiguiente peligro de toxicidad, cardiaca y neurológica, tales como arritmias y convulsiones. (24)

b) Corticoides

Su mecanismo de acción sería mediante su efecto antinflamatorio, al inhibir la síntesis de prostaglandina por bloqueo de la fosfolipasa A2. Son potentes antiinflamatorios y moduladores del dolor, y pueden ser inyectados, intraarticular, intrabursal y peritendíneo.

Se efecto analgésico se daría entre los 2 y 7 días. Se debe tener en cuenta que los corticoides si bien son potentes antiinflamatorios y calman el dolor, no cambian el curso de la enfermedad reumática.
Los corticoides más usados son la dexametasona, triamcinolona, y betametasona, todos derivados de la prednisolona. Pueden ser solubles o insolubles, lo cual tiene importantes implicancias.
Pueden contener ésteres, lo que los torna altamente insolubles en agua y con la particularidad de formar microcristales (particulados) en suspensión. Este fenómeno tiene ventajas e inconvenientes. La principal ventaja es que dichos cristales requiere hidrólisis para activarse, por lo que tienen efecto retardado y de larga duración Por otro lado, estos corticoides particulados, en infiltraciones en columna cervical, administrados erróneamente intravascular, pueden embolizar y causar severas complicaciones neurológicas. (24)
Los corticoides solubles o no particulados más comunes de rápida acción son la dexametasona, y betametasona en forma de fosfato de sodio. Los de larga duración son, la triamcinolona acetonida, y betametasona acetato.
Existen preparaciones comerciales que asocian un corticoide de acción rápida y otro de retardada (Dimacort retard). En términos generales de potencia, la dexametasona y betametasona, son 6 veces más potente que la triamcinolona. Sin embargo no habría diferencia en los resultados clínicos entre los diferentes tipos.
Por otro lado, combinar en una misma jeringa corticoides y anestésicos locales, no altera las propiedades de ninguno de los componentes. (24).

En otro orden, todos los procedimientos descriptos pueden ser realizados acorde al eje corto del transductor llamada también “fuera de plano” pero en este trabajo, solamente se empleó “en plano” por considerarla más segura, ya que se controla en todo momento la totalidad de la aguja. Como comentáramos previamente, si bien en los primeros pacientes de la serie se empleó lidocaína al 1%, posteriormente la usamos al 0.5%. Dado que no se dispone comercialmente, lo logramos diluyendo a la mitad con agua destilada estéril.(23)
Esta lidocaína obtenida al 0.5% posee iguales propiedades anestésicas, y permite inyectar mayores volúmenes en la bursa SASD con igual cantidad de fármaco, que recordamos es la mayor del cuerpo, de manera de lograr una mejor distribución y llegar a todos los recesos bursales. Por otro lado, cuando existe importante ocupación bursal por bursitis, es conveniente evacuar la mayor cantidad del contenido, no solo para aliviar el dolor, sino también para evitar la dilución de los componentes.



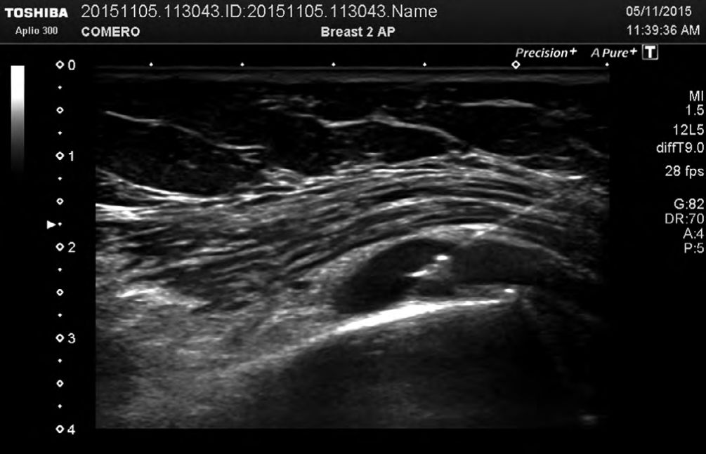
Foto 4 y 5
Aspiración de bursitis SASD se observa punta de la aguja dentro de la bursa, obteniéndose 10cc de líquido. Una vez aspirado se administraron los fármacos

Cuando la bursa SASD no está distendida, es un espacio virtual.
Es así que se debe introducir la aguja muy despacio, e ir inyectando de a pequeñas cantidades hasta alcanzar esta “línea” formada por la interfase deltoides/supraespinoso. Cuando efectivamente se está en el lugar indicado, se forma una lámina líquida, que va desplegando esta interfase a medida que se inyectan los fármacos. Dada la precisión que requiere esta maniobra, pensamos que una maniobra a ciegas en la inmensa mayoría de las veces infiltrará o bien al músculo deltoides, o al tendón del supraespinoso.
Existen otras modalidades de tratamiento del dolor del hombro, como ser el bloqueo del nervio supraescapular, que también se puede ser realizado con control ecográfico, que en este trabajo no se aplicó. Si bien es una técnica que se puede realizar bajo guía ecográfica y no es de gran complejidad, es más dolorosa de realizar.

Del mismo modo, hay un bloqueo tricompartimental, que realiza en forma combinada y simultánea, la infiltración subacromiodeltoidea, la infiltración intrarticular glenohumeral y la acromioclavicular. (26)
Como se había comentado, el dolor de hombro puede provenir de cualquier estructura, y esta analgesia de “amplio espectro” logra en forma empírica muchas veces su objetivo.
En este trabajo, los hallazgos imagenológicos ecográficos, en forma combinada con la clínica, fueron los que se tomaron en cuenta para decidir el sitio de la infiltración. Dado que la gran mayoría de los dolores de hombro provienen del pinzamiento del tendón del supraespinoso, la infiltración de la bursa SASD resolverá la mayoría de los casos, tal como se demostró en este trabajo, siendo además un procedimiento de muy fácil realización. Una crítica al presente trabajo podría ser que no se evaluó el grado de respuesta analgésica en períodos más alejados de tiempo, y que también que no se empleó la escala visual analógica en la evaluación del dolor. La razón de ello es que no fue éste el objetivo primario de este trabajo.
Por otra parte, el considerar el mal descanso nocturno como el indicador del procedimiento, se basa en la frecuente asociación entre la depresión y el insomnio debido al dolor.(27)
El interrumpir el círculo vicioso dolor-depresión-insomnio, y posibilitar un buen descanso nocturno, mejora rápidamente el ánimo y la percepción del dolor, y coadyuvan con el éxito del tratamiento en su conjunto, hecho que comprobamos en varios pacientes de esta casuística.

CONCLUSIÓN

Las infiltraciones ecoguiadas en hombro doloroso son procedimientos con varias ventajas con respecto a las realizadas a ciegas, como se viera en este trabajo.

Para el imagenólogo, conocedor de la anatomía y patología de esta zona, estos procedimientos son de muy rápido aprendizaje.

Le permiten también aumentar su “visibilidad” ante los pacientes, y brindarle gran satisfacción personal al calmar a un paciente en sufrimiento. Se pretende entonces estimularlo a recorrer este camino.

Financiación

Sin fuente de financiación.

Conflicto de intereses

Sin conflictos de intereses.

BIBLIOGRAFIA

  • Guía de referencia en atención de medicina general. Hombro. Junio 2012 Disponible en http://www.colombianadesalud.org.co/ GUIAS_MEDICINA_ESPECIALIZADA/GUIAS%20CONSULTA% 20ESPECIALIZADA/ORTOPEDIA/07%20HOMBRO% 20DOLOROSO.pdf

  • Diagnóstico y tratamiento del hombro doloroso en el primer nivel de atención. Guía mexicana Disponible en www.cenetec.salud.mx (Diagnóstico y tratamiento del síndrome de hombro doloroso en primer nivel de atención. México: Secretaría de Salud; 03/11/2016.)

  • Bianchi Stefano, Martinoli Carlo. Hombro. En: Ecografía musculoesquelética. Madrid, Marban, 2011. (6):160-293.

  • L. Molini L, Mariacher S, Bianchi S. US guided corticosteroid injection into the subacromial-subdeltoid bursa: Technique and approach,J Ultrasound. 2012 Feb; 15(1): 61–68.

  • Troy H. Soulder. En: Atlas of ultrasound guided musculoskeletal injection. St. Louis, Mc Graw Hill, 2014. (sII): 24-49.

  • Schaefer M, Kerniit F. Ultrasound guided shoulder joint and bursa injection. En: Atlas of ultrasound guided procedures in interventional pain management. Philadelphia, Springer 2011, (22):293-306.

  • Baxi N, Spinner D. Shoulder. En: Atlas of Ultrasound guided musculoskeletal injection. Philadelphia, Springer, 2014. (2):7-16.

  • Peng P. Ultrasound-Guided Interventional Procedures in Pain Medicine. Reg Anesth Pain Med 2011;36: 592Y605.

  • Lento P. The use of ultrasound in guiding musculoskeletal interventional procedures. Phys Med Rehabil Clin N Am 2010, 21:559–583.

  • Bruyn GA, Schmidt WA. How to perform ultrasound- guided injections. Best Pract Res Clin Rheumatol. 2009 Apr;23(2):269-79. doi: 10.1016/j.berh.2008.11.001.

  • Lento P. Preparation and setup for musculoskeletal ultrasound guided procedure. En: Atlas of ultrasound guided musculoskeletal injection. Mc Graw Hill 2014, (3):14-17.

  • Bashkansky D. Intervencionismo en dolor crónico. Consideraciones generales de los procedimientos más utilizados. VI Curso teórico practico de intervencionismo para el control del dolor crónico 4-5 de mayo 2017 Buenos Aires, Argentina.

  • Aditya Ravindra Daftary. Perspectives in ultrasound- guided musculoskeletal interventions. Indian J Radiol Imaging. 2015 Jul-Sep; 25(3): 246–260.

  • Rastogi AK, Davis KW, Ross A. Fundamentals of joint injection. AJR 2016; 207:484–494.

  • Malanga G, Axtman M. The rationale and evidence for performing ultrasound guided injections. En: Atlas of ultrasound guided musculoskeletal injection. Mc Graw Hill 2014. (4):18-22.

  • Tomohisa Hashiuchi. Comparative survey of pain-alleviating effects between ultrasound-guided injection and blind injection of lidocaine alone in patients with painful shoulder. Arch Orthop Trauma Surg. July 2010, 130(7):847-852.

  • Soh E, Li W, Ong KO, et al.: Image-guided versus blind corticosteroid injections in adults with shoulder pain: A systematic review. BMC Musculoskeletal Disorders 2011 12:137. https://doi.org/10.1186/1471-2474-12-137.

  • Bloom JE, Rischin A, Johnston RV, Buchbinder R. Image-guided versus blind glucocorticoid injection for shoulder pain. Cochrane Database Syst Rev. 2012 Aug 15;(8):CD009147. doi: 10.1002/14651858.CD009147. pub2.

  • Haghighat S, Taheri P, Banimehdi M, Taghavi A. Effectiveness of Blind & Ultrasound Guided Corticosteroid Injection in Impingement Syndrome. Glob J Health Sci. 2015 Nov 18;8(7):179-84. doi: 10.5539/gjhs.v8n7p179.

  • Koutsianas C, Rainer K. Efficacy of ultrasound-guided versus landmark-guided injections in rheumatology: a systematic review: ultrasound versus landmark guided injections. Mediterr J Rheumatol 2016; 27(4): 55-66.

  • De Carlos J.M, Viamonte M.A. Farmacología de los anestésicos locales. Anales Sis San Navarra 1999, 22(22): 11-18. https://recyt.fecyt.es/index.php/ASSN/article/ view/7315/9441

  • Goodman S. Louis, Gilman Alfred. Bases farmacológicas de la terapéutica. 5ta ed. Ed. Interamericana,1978. pp.319-339.

  • Guerini H. Hombro. En: Infiltraciones ecoguidas en patología musculoesqulética. Elsevier 2014, (5):49-87.

  • Mac Mahon PJ. Eustace S J. Injectable Corticosteroid and Local Anesthetic Preparations: A Review for Radiologists1. Radiology. 2009 Sep;252(3):647-61. doi: 10.1148/ radiol.2523081929.

  • Piper SL1, Kim HT. Comparison of ropivacaine and bupivacaine toxicity in human articular chondrocytes. J Bone Joint Surg Am. 2008 May;90(5):986-91. doi: 10.2106/JBJS.G.01033.

  • Rivera Diaz R, Arcila Lotero M, Giraldo Giraldo D. Bloqueo tricompartimental de hombro guiado por ultrasonografía. Rev Colomb Anestesiol 2013; 41:245-9. DOI: 10.1016/j.rca.2013.06.003

  • Weissbrod D. Cómo realizar un diagnóstico precoz y efectivo de dolor crónico. VI Curso teórico practico de intervencionismo para el control del dolor crónico 4-5 de mayo 201,7 Buenos Aires, Argentina.

* Médico Radiólogo

Volver al principio