DISPLASIA FIBROSA POLIOSTÓTICA

REPORTE DE CASO

Dr. Federico Avondet *
Dra. Liliana Servente **

RESUMEN

La displasia fibrosa es una anomalía del desarrollo en la que el hueso esponjoso de la medular es sustituido por tejido fibroso. Se divide en una variante monostótica y una variante poliostótica, en función de la afectación de uno o múltiple huesos respectivamente. Afecta típicamente a pacientes jóvenes en la primera o segunda década de vida.
Se presenta el caso de una niña de ocho años, del Servicio de Ortopedia del Hospital Pereira Rossell, que consultó por dolor en miembro inferior derecho (MID) vinculado a un traumatismo de leve entidad. En el estudio radiográfico simple se constató la presencia de tres lesiones líticas a nivel del peroné, con características sugerentes de displasia fibrosa (DF). Se completó el estudio con tomografía computada (TC) y resonancia magnética (RM), valorando su distribución y actividad a través de un estudio por tomografía computarizada por emisión de fotón único (en inglés, SPECT). Se confirmó el diagnóstico por anatomía patológica. La paciente quedó vinculada al servicio para controles y eventuales tratamientos.

Palabras claves: Displasia fibrosa, poliostótica, resonancia magnética, SPECT.

ABSTRACT

Fibrous dysplasia is an abnormality of development in which the cancellous bone of the medulla is replaced by fibrous tissue. It is divided into a monostotic variant and a polyostotic variant, depending on the involvement of one or multiple bones respectively. It typically affects young patients in the first or second decade of life.
We present the case of an 8-year-old girl from the Orthopedic Service of the Hospital Pereira Rossell, who consulted for pain in the lower right limb (MID) linked to minor trauma. In the simple radiographic study, three lytic lesions at the level of the fibula were found, with characteristics suggestive of fibrous dysplasia (FD). The study was completed with computed tomography (CT) and magnetic resonance (MR), assessing its distribution and activity through a single photon emission computed tomography (SPECT) study. The diagnosis was confirmed by pathological anatomy. The patient was linked to the service for controls and possible treatments.

Key words: Fibrous dysplasia, polyostotic, magnetic resonance, SPECT.

INTRODUCCIÓN

La displasia fibrosa es una anomalía del desarrollo en la que el hueso esponjoso de la medular es sustituido por tejido fibroso, presentándose típicamente en pacientes jóvenes en la primera o segunda década de vida (1). Se caracteriza por presentar trabéculas de pequeño tamaño y morfología irregular que se disponen anormalmente en un estroma fibroso displásico. (2)
Se divide en una variante monostótica y una variante poliostótica, en función de la afectación de uno o múltiples huesos respectivamente (3). Dado que la variante poliostótica puede coexistir con lesiones cutáneas de tipo “café con leche”, esta entidad fue confundida durante muchos años con la neurofibromatosis. En el año 1938, Lichtenstein introduce en la literatura médica el término “Displasia fibrosa del hueso” al reportar quince casos que lo establecen como una entidad patológica distinta4. La variante monostótica es la más frecuente representando el 80 % de los casos, siendo en general asintomática y de hallazgo incidental. En los sintomáticos, predomina el dolor secundario a la presencia de fracturas patológicas en un hueso debilitado, o más raramente deformidades óseas. Los sitios más frecuentemente involucrados incluyen las costillas, el fémur proximal, la tibia y el cráneo.
Las lesiones poliostóticas tiende a afectar largos segmentos, principalmente la pelvis, tibia, fémur, costillas y cráneo, con clara predilección por un lado del cuerpo. Se asocian con mayor tasa de fracturas y deformidades óseas angulares, como resultado de la mineralización defectuosa del hueso displásico inmaduro. La afectación de los platillos de crecimiento puede determinar baja estatura.

Hiperparatiroidismo, hipertiroidismo, diabetes mellitus, síndrome de Cushing, han sido descritos como patología extra esquelética asociada. Dentro de ellos, el síndrome de McCune-Albrigth, se caracteriza por presentarse con displasia fibrosa poliostótica unilateral, manchas tipo “café con leche” y disfunción endocrina, principalmente pubertad precoz en niñas (5). Las manchas de “café con leche” presentan sus bordes irregulares, en “costa de Maine”, en contraposición con los bordes lisos de la neurofibromatosis en “costa de California”. (1)
Todo paciente con diagnóstico reciente de DF y especialmente los que presentan la variante poliostótica, deben ser evaluados por un endocrinólogo, incluso en ausencia de historia o hallazgos clínicos sugerentes de disfunción endocrina. (6)
A su vez, se ha reportado la presencia de mixomas de partes blandas, que si bien son infrecuentes, orientan hacia la variante poliostótica (7). La asociación de DF poliostótica y mixoma de partes blandas recibe el nombre de síndrome de Mazabraud. (2-19)

CASO CLINICO

Paciente de sexo femenino de 8 años de edad, procedente de Montevideo, sin antecedentes personales a destacar. Consulta en el Centro Hospitalario Pereira Rossell por dolor en MID de una semana de evolución e impotencia funcional, vinculado a un traumatismo de baja energía.
En el examen físico se constató tumoración en tercio proximal de pierna derecha, sin otras particularidades. No se encontraron alteraciones en los estudios de laboratorio ni alteraciones endocrinológicas asociadas.

ESTUDIOS IMAGENOLÓGICOS

Se solicitó radiografía simple de pierna derecha en proyección frontal y de perfil (Ver fig. 1 y 2), que se completó con TC sin contraste a pedido del traumatólogo tratante (Ver fig. 3).
Ambos estudios constataron la presencia de tres lesiones líticas de baja agresividad, con características imagenológicas de DF. Solamente la lesión proximal presentó reacción perióstica de tipo ininterrumpido asociado a un trazo de fractura patológico.
Para evaluar con mayor precisión la extensión intra y extra ósea de la lesión, y definir su naturaleza, se decidió realizar RM. Se estudiaron ambas piernas con secuencias axiales y coronales potenciadas en T1 y DP FAT SAT, sagital DP


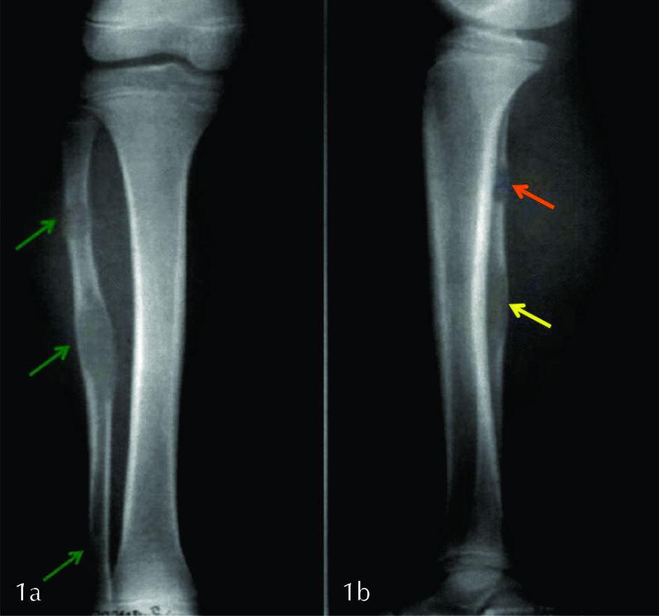
Figura 1
Radiografía de pierna derecha
a) frente, b) perfil.
Se identifican tres lesiones líticas (flechas verdes) diafisarias y metafiso diafisarias, localizadas en la medular del tercio superior, medio e inferior del peroné. Presentan bordes geográficos sin anillo esclerótico y zona de transición estrecha (lesiones tipo 1b). Véase como expanden y adelgazan la cortical (flecha amarilla). No posee matriz radiológicamente visible, componente de partes blandas ni compromiso articular por este método. La lesión superior presenta un trazo horizontal esclerótico que podría corresponder a fractura evolucionada (flecha naranja).


Figura 2
Radiografía de frente con aumento del área de interés.
La lesión proximal presentaba reacción perióstica de tipo continua (flecha verde) en asociación a un trazo esclerótico en relación a factura patológica evolucionada (flecha naranja). El resto de las lesiones no presentaban reacción perióstica.

FAT SAT y T1 FAT SAT tras la administración de gadolinio en los tres planos del espacio (Ver fig. 4). Con el fin de determinar la distribución de las lesiones y valorar posibles lesiones en sitios insospechados se solicitó SPECT con 99Tc-MDP (Ver fig. 5). Dada la intensa captación del fémur homolateral se completó con radiografía simple de muslo derecho en proyección de frente y de perfil, identificándose lesiones radiolúcidas incipientes en la medular de la diáfisis femoral, con festoneado endóstico (Ver fig. 6).

Con el planteo diagnóstico de DF poliostótica, el equipo tratante decide confirmar el diagnóstico a través de un estudio anatomo-patológico. Se realizó biopsia ósea guiada por radioscopia de la lesión del tercio medio del peroné derecho.

La anatomía patológica reconoció tejido óseo trabecular, con trabéculas de morfología irregular, sin ribete osteoblástico, en un estroma fibroso hipocelular, sin atipias celulares, concluyendo en el diagnóstico de displasia fibrosa. Se colocó yeso para lograr una correcta consolidación de la fractura patológica, descartándose intervenciones quirúrgicas. La paciente quedó vinculada al servicio de ortopedia, permaneciendo con conducta expectante, con controles clínicos y por radiología simple.


Figura 3
TC de MMII con filtro duro. a) Corte seleccionado en el plano coronal, b) Corte seleccionado en el plano axial de la lesión superior, c) Corte seleccionado en el plano axial de la lesión del tercio medio. Se observa con mayor precisión la reacción perióstica de la lesión proximal (flechas verdes), la cual es ininterrumpida, de tipo sólido. El resto de las lesiones no presentan reacción perióstica de ningún tipo. Véase la matriz en “vidrio deslustrado” presente en las tres lesiones (flechas amarillas). Se identifica expansión y adelgazamiento de la cortical (flecha naranja).


Figura 4
RM de MMII. a) Plano axial potenciado en T1 a nivel de la lesión del tercio medio del peroné, b) DP FAT SAT en el plano axial a nivel de la lesión del tercio superior, c) DP FAT SAT en el plano sagital, d y e) T1 en el plano coronal tras la administración de medio de contraste. Las lesiones son isointensas con el músculo en secuencias potenciadas en T1 (flecha amarilla), hiperintensas en DP con FAT SAT (flechas blancas), presentando realce intenso y homogéneo con el medio de contraste (flechas celestes). En la lesión superior se identifica el trazo de fractura y la reacción perióstica asociada (flecha verde), así como la presencia de edema intra óseo y de partes blandas (flechas naranjas). La lesión del tercio inferior contacta con la fisis (flecha roja).


Figura 5
SPECT planar en proyección anterior (a-c) y posterior (b-d), en una fase temprana (a-b) y otra tardía (c-d). Se observa intensa captación del radio-trazador 99Tc-MDP a nivel del fémur proximal derecho (flecha azul), tanto diafisario como metafiso diafisario, y a nivel del peroné homolateral (flecha roja).


Figura 6
a) Radiografía bilateral en proyección anteroposterior de fémur. b) Radiografía de fémur derecho de perfil. Se identifican lesiones radiolúcidas incipientes, en diáfisis de fémur derecho (flechas verdes), con festoneado endóstico (flecha amarilla). A su vez, se aprecia una lesión cortical, lítica, geográfica, bien delimitada, con anillo esclerótico (1b), en probable relación a fibroma no osificante (flechas rojas).

DISCUSIÓN Y CRITERIOS DIAGNÓSTICOS

El tejido fibroso prolifera lentamente dentro de la médula ósea produciendo expansión y comprimiendo la cortical desde el interior, presentando una densidad variable. (8) Entre los métodos de imagen para evaluar la DF se encuentran los estudios radiográficos, TC, RM y estudios de medicina nuclear.
Algunos autores consideran que si las lesiones son típicas en radiología simple, es decir, se presentan con adelgazamiento de la corteza, sin reacción perióstica y de matriz en “vidrio esmerilado”, el diagnóstico puede ser interpretado sin estudios de imagen adicionales. La reacción perióstica puede estar presente siempre y cuando se encuentre asociada a un trazo de fractura. (9)
La TC no aporta información adicional relevante, por lo que de existir la posibilidad de realizar una RM, no debería ser incluida en los protocolos de evaluación de estos pacientes.
Las características en RM dependen de la presencia y grado de tejido fibroso, colágeno, hueso trabecular inmaduro, degeneración hemorrágica y quística. La intensidad de señal es típicamente baja o intermedia en secuencias ponderados en T1 e intermedia o alta en secuencias ponderadas en T2. Tras la administración de gadolinio la mayoría de las lesiones muestran realce central y algo de realce periférico en anillo. (2)
La gammagrafía ósea constituye un estudio de capital importancia permitiendo evaluar la actividad biológica de la lesión pero principalmente detectando lesiones adicionales.

Los diagnósticos diferenciales difieren según su apariencia radiológica, sitio y extensión de la lesión. Entre ellos se incluyen los quistes óseos simples, tumor de células gigantes, firboxanthomas, neurofibromatosis, encondromatosis, granuloma eosinofílico, osteoblastoma, meningioma y hemangioma. (8)
Con respecto a la decisión de contar con diagnóstico definitivo, la literatura es bastante heterogénea al respecto.
Clásicamente se sitúa dentro de las lesiones de “no tocar”, pero en un amplio número de casos la balanza se inclina a contar con diagnóstico anatomo-patológico.
La transformación maligna es infrecuente, con una incidencia menor al 1%, siendo con mayor frecuencia osteosarcomas y fibrosarcomas (11-20). Puede ocurrir tanto en la variante monostótica como en la poliostótica, de manera espontánea o más frecuentemente, tras radioterapia. El tratamiento en los pacientes con variante monostótica depende de la presencia de síntomas. Las lesiones incidentales deben ser vigiladas con radiografía simple en un intervalo consensuado entre el paciente y el traumatólogo, mientras la lesión se mantiene biológicamente inactiva y no afecta la mecánica ósea. El tratamiento quirúrgico puede estar indicado frente a la posibilidad de una lesión maligna, déficit mecánico, dolor y fracturas óseas patológicas.
El tratamiento de la variante poliostótica es más desafiante, ya que la mayoría de los pacientes presentarán fracturas patológicas y deformidades óseas sin un tratamiento quirúrgico.
El uso de dispositivos intra medulares es fuertemente sugerido para todas las fracturas y reconstrucciones de los miembros inferiores (13). Sin embargo, el manejo de cada paciente debe ser individualizado.

CONCLUSIÓN

La displasia fibrosa es una alteración ósea del desarrollo que se presenta en la primera o segunda década de vida. La Imagenología juega un rol principal para establecer su diagnóstico, mientras los estudios de medicina nuclear determinan su distribución a lo largo del esqueleto.

BIBLIOGRAFIA

  • Mirra JM, Gold RH. Fibrous dysplasia. In: MirraJM, Piero P, Gold RH. Bone tumors. Philadelphia: Lea & Febiger, 1989; 191-226.

  • Greenspan A. Lesiones fibrosas y fibro-óseas. Radiología de los huesos y las articulaciones. Marbán. Edicion: 2ª - 2006. Pág. 627.

  • DiCaprio MR, Enneking WF. Fibrous dysplasia: patho- physiology, evaluation, and treatment. J Bone Joint Surg Am 2005;87(8):1848–1864.

  • Lichtenstein L, Jaffe HL. Fibrous dysplasia of bone. Arch Pathol Lab Med 1942; 36:874-898.

  • Albnight F, Butler AM, Hampton AO, Smith P. Syndrome characterized by osteitis fibrosa disseminata, areas of pigmentation, and endocrine dysfunction, with precocious puberty in females. N EnglJ Med 1937; 216:727-746.

  • Allison N. Rubin, Kory Byrns (2015). Fibrous Dysplasia of the Rib. RadioGraphics 2015; 35:2049–2052.

  • Sundaram M, McDonald DJ, Merenda G. Intramuscular myxoma: a rare but important association with fibrous dysplasia of bone. AJR 1989; 153:107-108.

  • Mark J. Kransdorf, Richard P. Moser (1990). Displasia Fibrosa. From de Archives of the AFIP, Radiographics 1990; 10:519-537.

  • Clyde A. Helms. Lesiones líticas benignas. Fundamentos de radiología del esqueleto. Marbán. Edición 3ª. 2009. Pág. 8.

  • Levine BD, Motamedi K, Chow K, Gold RH, Seeger LL. CT of rib lesions. AJR Am J Roentgenol 2009;193(1): 5–13.

  • Hoshi M, Matsumoto S, Manabe J, Tanizawa T, Shigemitsu T, Izawa N, Takeuchi K and Kawaguchi N: Malignant Conclusión La displasia fibrosa es una alteración ósea del desarrollo que se presenta en la primera o segunda década de vida. La Imagenología juega un rol principal para establecer su diagnóstico, mientras los estudios de medicina nuclear determinan su distribución a lo largo del esqueleto. mientras la lesión se mantiene biológicamente inactiva y no afecta la mecánica ósea. El tratamiento quirúrgico puede estar indicado frente a la posibilidad de una lesión maligna, déficit mecánico, dolor y fracturas óseas patológicas. El tratamiento de la variante poliostótica es más desafiante, ya que la mayoría de los pacientes presentarán fracturas patológicas y deformidades óseas sin un tratamiento quirúrgico. El uso de dispositivos intra medulares es fuertemente sugerido para todas las fracturas y reconstrucciones de los miembros inferiores (13). Sin embargo, el manejo de cada paciente debe ser individualizado. change secondary to fibrous dysplasia. Int J Clin Oncol 11: 229-235, 2006.

  • Ruggieri P, Sim FH, Bond JR and Unni KK: Malignancies in fibrous dysplasia. Cancer 73: 1411-1424, 1994.

  • Robert P Stanton, Ernesto Ippolito2 (2012). The surgical management of fibrous dysplasia of Bone. Orphanet Journal of Rare Diseases 2012, 7(Suppl 1):S1

  • Aoky J, Moser RP, Vinh TN. Giant cell tumor of the scapula: a review of 13 cases. Skeletal radiol 1989: 18:427-434.

  • Wilner D. Fibrous dysplasia of bone. Radiology of bone tumors and allied disorders. Philadelphia: Saunders, 1982; 1443-1580.

  • Saravanaraja Muthusamy, Ty Subhawongv (2015). Locally Aggressive Fibrous Dysplasia Mimicking Malignancy: A Report of Four Cases and Review of the Literature. Clinical Orthopaedics and Related Reserch; 473:742–750.

  • Mollá E., Martí-Bonmatí L., Casillas C. Musculoesquelético Displasia fibrosa: correlación entre los hallazgos clínico-radiográficos y por RM. Revista de Radiología SERAM. (Vol. 40 Nº 4). Abril; 1998.

  • Arabella I. Leet, Alison M. Boyce, Khalda A. Ibrahim. Bone - Grafting in Polyostotic Fibrous Dysplasia. J Bone Joint Surg Am. 2016;98:211-9.

  • Jose Daniel Samper Wamba, Maria Jose Fernandez Bermudez, Teresa Lorenzo Dominguez, Luis Ramos Pascua. Polyostotic fibrous dysplasia associated with intramuscular myxomas: Mazabraud síndrome. Indian Journal of Radiology and Imaging / August 2015 / Vol 25 / Issue 3.

  • Zreik Riyam T., Litterell Laurel A., Jin Long, Olivera Andre M., Fritchie Karen J. Malignant transformation of polyostotic fibrous dysplasia with aberrant keratin expression. Human pathology (2016), doi: 10.1016/j. humpath.2016.09.030.


* R3 Depto. de Radiología Hospital de Clínicas

** Prof. Agdo Depto. de Radiología Hospital de Clínicas