SÍNDROME DE ATRAPAMIENTO DE LA ARTERIA RENAL POR LA CRURA DIAFRAGMÁTICA

PRESENTACIÓN DE UN CASO

Dra. V. Irrazábal *
Dr. F. Estévez *
Dra. P. De los Santos **
Dr. A. Crisci ***

RESUMEN

El atrapamiento de la arteria renal por la crura diafragmática es una rara causa de estenosis de la arteria renal. La angiografía por tomografía computarizada proporciona un diagnóstico definitivo y permite evaluar la relación de la arteria renal con la crura diafragmática. La ecografía Doppler proporciona información hemodinámica que contribuye a confirmar el diagnóstico.
Esta condición se debe tener en cuenta en pacientes jóvenes hipertensos con estenosis de la arteria renal que no presenten otros factores de riesgo cardiovasculares. El objetivo de este trabajo es describir el Síndrome de atrapamiento de la arteria renal por la crura diafragmática y su abordaje diagnóstico y terapéutico.
Se presenta el caso de una mujer joven de 22 años de edad con atrapamiento de la arteria renal derecha por el pilar diafragmático.

Palabras clave: atrapamiento de la arteria renal, estenosis de la arteria renal, angiografía por tomografía computarizada, ecografía Doppler

ABSTRACT

Entrapment of the renal artery by the diaphragmatic crus is a rare cause of renal artery stenosis. Computed tomography angiography provides a definitive diagnosis and allows to evaluate the relationship of the renal artery with the diaphragmatic crus. Doppler ultrasound provides hemodynamic information that helps to confirm the diagnosis. This condition should be considered in young hypertensive patients with stenosis of the renal artery, without other cardiovascular risk factors. The aim of this work is to describe renal artery entrapment syndrome and its diagnostic and therapeutic approach.
We present the case of a 22-year-old woman with entrapment of the right renal artery by the diaphragmatic crus.

Key words: renal artery entrapment, renal artery stenosis, computed tomography angiography, Doppler ultrasound

INTRODUCCIÓN

La estenosis de la arteria renal da cuenta del 1% de los pacientes con hipertensión arterial (HTA) y su incidencia se eleva a 30% en casos de hipertensión arterial refractaria.
Las causas más frecuentes de estenosis de las arterias renales son, en primer lugar, la aterosclerosis, seguida por la displasia fibromuscular. La compresión extrínseca de una o ambas arterias renales por la crura diafragmática, aunque rara, también puede dar lugar a hipertensión arterial. Esta condición ha sido descrita como síndrome de atrapamiento de la arteria renal. Fue descrito por primera vez por D’Abreu en 1962, quien informó dos casos que fueron comprobados mediante cirugía. Desde esta primera descripción, pocos casos se han reportado en la literatura. Actualmente, el número de casos diagnosticados se ha incrementado en forma paralela al desarrollo y avance de los métodos de imagen, especialmente la Tomografía Computarizada (TC) y la Resonancia Magnética (RM).

PRESENTACIÓN DEL CASO

Se trata de un paciente de sexo femenino de 22 años de edad, procedente de Montevideo, portadora de Síndrome de Marfan, cursando actualmente embarazo de 28 semanas de edad gestacional. El paciente refiere cifras elevadas de presión arterial en alguna oportunidad, pero sin un claro diagnóstico de hipertensión arterial. Consulta en puerta de emergencia del Hospital de Clínicas por dolor torácico de reciente instalación.

Dado el antecedente de Síndrome de Marfan y el mayor riesgo de eventos aórticos en un paciente con dolor torácico se solicita Angio-Tomografía Computada de Aorta para descartar Síndrome aórtico agudo, particularmente disección aórtica. Todo esto en una gestante de alto riesgo que cursa embarazo de 28 semanas pero que de confirmarse la sospecha clínica presentan, tanto la madre como el feto, alto riesgo vital.

Se realiza Tomografía computada sin uso de medio de contraste i/v del sector torácico para descartar hematoma intramural aórtico, seguido del estudio de toda la aorta y de los ejes arteriales ilíacos con protocolo de angioTC a efectos de valorar la presencia de disección de aorta. La aorta a nivel torácico no muestra alteraciones, es de calibre normal, sin evidencia de hematoma intramural ni de flap intimal.
La aorta abdominal es ectásica, con un diámetro máximo promedio de 30 mm, sin evidencia de flap intimal que sugiera disección, ni de hematoma intramural ni de colecciones periaórticas.
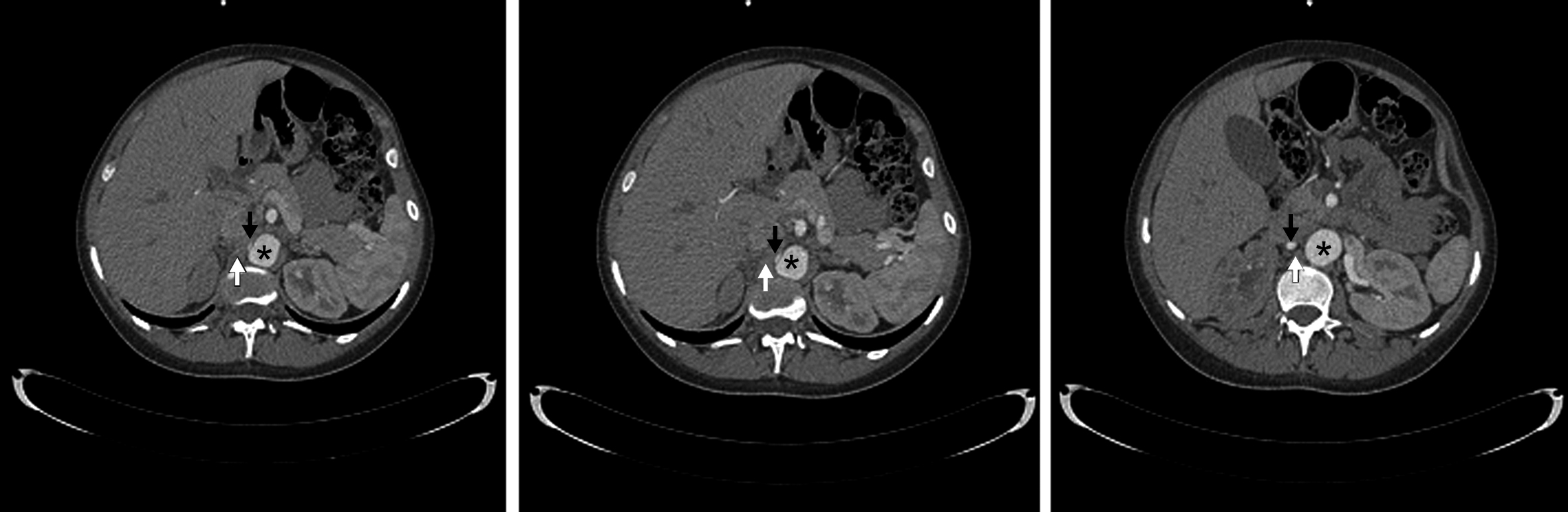
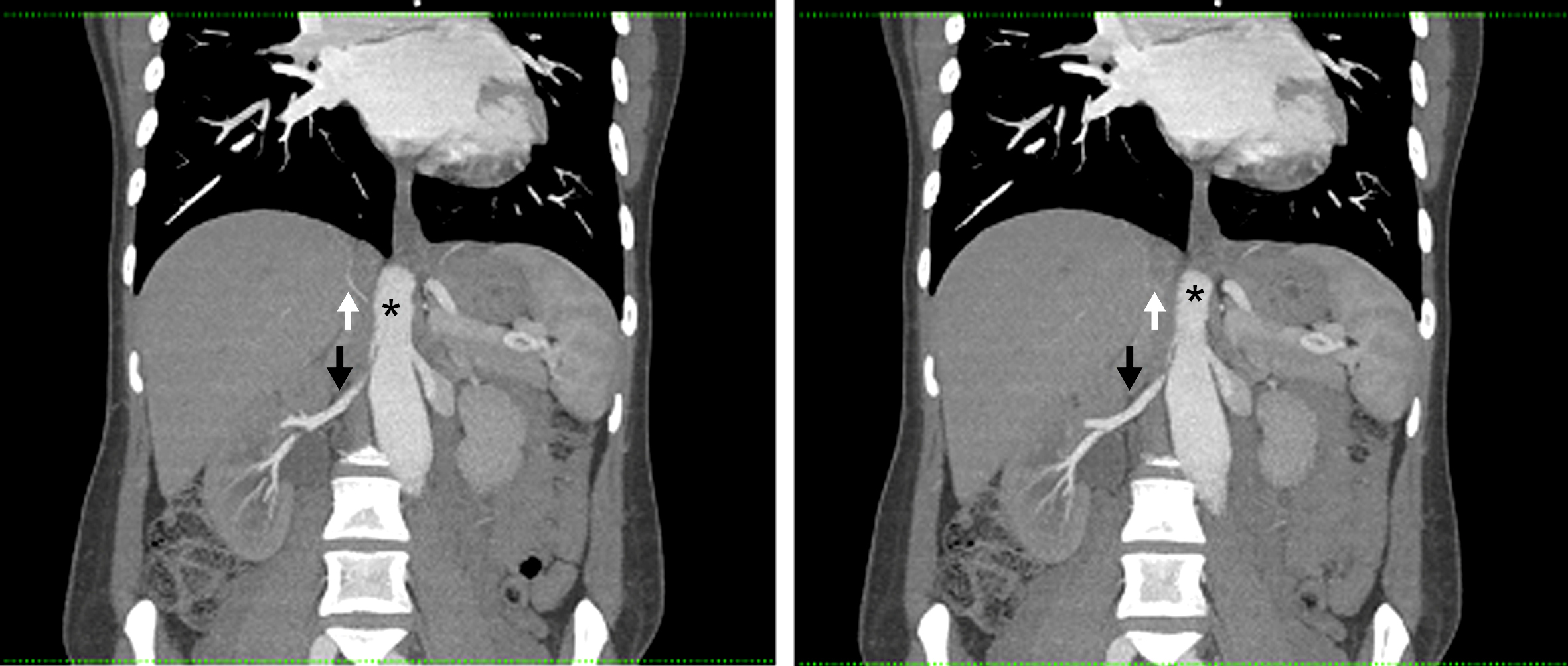
La arteria renal derecha es única, se encuentra permeable, y presenta franca disminución de su calibre y trayecto “verticalizado” en su sector proximal, transcurriendo entre la aorta abdominal y la crura diafragmática ipsilateral en su segmento inicial. Distalmente la arteria renal derecha presenta calibre normal, de aprox. 6 mm de diámetro. Así mismo se observa realce asimétrico de ambos riñones tras la administración de medio de contraste i/v, evidenciándose menor captación del mismo en forma difusa a derecha (nefrograma tardío) en comparación con el riñón contralateral, lo cual traduce hipoperfusión renal. (Figs. 1 y 2)
La arteria renal izquierda y el riñón izquierdo no muestran alteraciones.
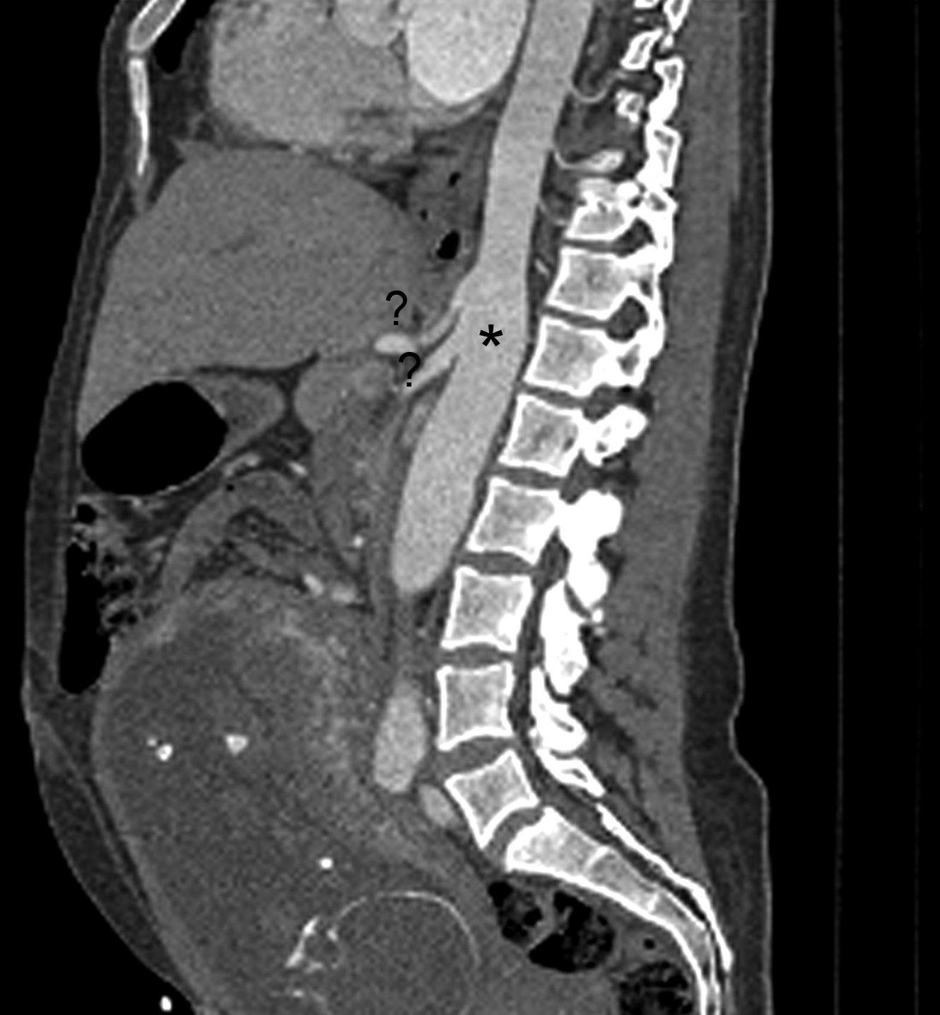
El tronco celíaco y la arteria mesentérica superior se encuentran permeables y de calibre habitual. Se identifica un origen alto de las ramas viscerales de la aorta abdominal, a saber, el tronco celíaco a la altura del espacio discal T11-T12, la arteria mesentérica superior a nivel del cuerpo vertebral de T12, la arteria renal derecha a nivel del espacio T12-L1 y de la arteria renal izquierda a nivel del margen superior de cuerpo de L1. (Fig. 3)
Por último destacamos la presencia de un útero grávido con feto en su interior, antecedente que ya conocíamos. Los hallazgos descritos son compatibles con el planteo de Síndrome de atrapamiento de la arteria renal derecha por la crura diafragmática.

Posteriormente se realiza ecografía Doppler color de las arterias renales a efectos de valorar el patrón hemodinámico en las mismas, particularmente en la arteria renal derecha, y evidenciar en tiempo real cambios en dicho patrón vinculados a la fase del ciclo respiratorio (estudio dinámico).
Se comprueba una aorta abdominal ectásica en toda su extensión, con velocidades sisto-diastólicas habituales (velocidad picosistólica de 70 cm/seg.). Ambos riñones son de forma y tamaño habitual, con parénquima de espesor y ecogenicidad normal y buena diferenciación córtico-medular bilateralmente. No se ven alteraciones de las cavidades excretoras. Se realiza estudio dinámico de las arterias renales durante el ciclo respiratorio el cual demuestra que durante la inspiración el sector proximal de la arteria renal derecha se “verticaliza”, quedando paralela a la aorta abdominal, (Fig. 5), comprobándose además aumento de las velocidades sisto-diastólicas en este sector de la arteria, con velocidades picosistólicas (VPS) de 385 cm/seg en inspiración, comportándose desde el punto de vista hemodinámico como una estenosis significativa.
En esta fase del ciclo se observa íntimo contacto entre el sector proximal de la arteria renal derecha y la crura diafragmática ipsilateral, en concordancia con lo visto por angioTC.
Durante la inspiración es también evidente una disminución significativa de la vascularización del riñón derecho, con ondas de flujo de tipo “tardus et parvus” a nivel intrarrenal compatible con flujo post-obstructivo (postestenótico). (Fig. 6)
En espiración la arteria tiene un trayecto horizontal y velocidades de flujo normales (VPS de 122 cm/seg) (Fig. 5), siendo la vascularización intrarrenal de distribución habitual y con patrones de flujo normales. (Fig. 4)


Figura 1
Angiografía de Aorta por TC Cortes axiales. (*) Aorta abdominal, (flecha blanca) Crura diafragmática derecha, (flecha negra) Arteria renal derecha.


Figura 2
Angiografía de Aorta por TC Proyección de máxima intensidad. Cortes coronales. (*) Aorta abdominal, (flecha blanca) Crura diafragmática derecha, (flecha negra) Arteria renal derecha.


Figura 3
Angiografía de Aorta por TC Corte sagital. (*) Aorta abdominal, (?) Tronco celíaco, (?) Arteria mesentérica superior.


Figura 4
Ecografía Doppler, Cortes longitudinales. En espiración (izquierda) y en inspiración (derecha). (RD) Riñón derecho.


Figura 5
Ecografía Doppler En espiración (izquierda) y en inspiración (derecha). (flecha negra) Arteria renal derecha.


Figura 6
Ecografía Doppler (*) Crura diafragmática.

DISCUSIÓN

La hipertensión arterial sistémica de origen renovascular es la causa más frecuente de hipertensión arterial secundaria. Se produce como consecuencia de la estenosis de la arteria renal o alguna de sus ramas principales. La estenosis de la arteria renal representa aproximadamente el 1% de los pacientes con hipertensión arterial, pero su incidencia se eleva al 30% en los casos de hipertensión arterial refractaria (6). Se asocia con compromiso de la perfusión renal, asimetría renal, hipertensión arterial, nefropatía isquémica e insuficiencia renal terminal (4). Las causas más frecuentes de estenosis son la aterosclerosis y la displasia fibromuscular. En la aterosclerosis la afectación suele ser difusa (panvascular) y afecta mayormente a hombres mayores de 45 años, y la estenosis típicamente es en el ostium de la arteria; la displasia fibromuscular se encuentra típicamente en mujeres jóvenes y en general compromete el sector medio o distal de la arteria (5). Otra causa relativamente frecuente de estenosis en pacientes jóvenes son las arteritis, la más frecuente es la enfermedad de Takayasu, una panarteritis segmentaria, necrotizante y obliterante, que afecta generalmente la aorta y sus ramas principales, entre ellas las arterias renales. La compresión extrínseca de la arteria renal es una causa poco frecuente de hipertensión arterial. La compresión de una o ambas arterias renales por la crura diafragmática, aunque rara, también puede dar lugar a hipertensión arterial. (7)
En nuestro paciente surge el antecedente de algún registro de cifras tensionales altas, sin un claro diagnóstico de hipertensión arterial. De hecho, el diagnóstico de atrapamiento de la arteria renal por la crura diafragmática es un hallazgo de una Angio-Tomografía Computada realizada por otra causa diferente al de la hipertensión arterial secundaria (causa renovascular).

Alteraciones congénitas como haces musculares o tendinosos aberrantes (anómalos), nacimiento alto (“ectópico”) de la arteria renal o la presencia de una crura diafragmática hipertrófica representan posibles causas de compresión extrínseca de la arteria renal según varios estudios. Sin embargo, esta condición parece estar más vinculada a una relación anómala entre la arteria renal y la crura diafragmática. (2) Esta relación anómala que causa estenosis de la arteria renal ha sido descrita como Síndrome de atrapamiento de la arteria renal. (3)
De todas formas cabe destacar que la aparición del atrapamiento de la arteria renal en pacientes de edad avanzada sugiere que estas compresiones pueden no ser congénitas y estar vinculadas al desarrollo de cambios en la relación entre la aorta y las estructuras musculoesqueléticas adyacentes a lo largo del tiempo. (4)

El síndrome de atrapamiento de la arteria renal fue descrito por primera vez por D’Abreu, quien informó en 1962 dos casos que fueron comprobados mediante cirugía. Desde esta primera descripción, menos de 20 casos se han reportado en la literatura (2). Actualmente, el número de casos diagnosticados se ha incrementado en virtud del avance de los métodos de imagen, particularmente la Tomografía Computada y la Resonancia Magnética. (7)

La revisión de la literatura sugiere que el atrapamiento de la arteria renal es más frecuente del lado izquierdo. El mecanismo evocado es una anomalía de la migración de los riñones. Las fibras musculares de la crura diafragmática comprimen la arteria renal mediante la verticalización del sector proximal de la misma. La arteria describe un trayecto inusualmente vertical, formando un ángulo agudo con la aorta abdominal. Esto resulta en una estenosis proximal de la arteria por mecanismo de compresión extrínseca (1).

Parece difícil predecir qué pacientes desarrollarán este síndrome. No obstante, el análisis del atrapamiento de la arteria renal realizado por Arazinska et al. permitió encontrar factores anatómicos relacionados al mismo.
En este sentido se describieron relaciones anatómicas que podrían estar vinculadas a esta entidad: nivel de nacimiento de la arteria renal “atrapada” respecto al raquis, distancia entre el origen de la arteria renal derecha y la arteria renal izquierda, nivel de emergencia de las arterias renales respecto al punto de nacimiento del tronco celíaco y de la arteria mesentérica. Las relaciones más importantes demostradas fueron: altura o nivel de emergencia de la arteria renal “atrapada” respecto al raquis, y la distancia entre el ostium de la arteria renal derecha y la renal izquierda. Según la literatura, la arteria renal derecha se origina más comúnmente a la altura de la plataforma inferior del cuerpo vertebral de L1 (25%), y la renal izquierda a la altura de la plataforma superior del cuerpo vertebral de L2 (24%). Sin embargo, en pacientes con atrapamiento de la arteria renal, el origen es alto y se localiza con mayor frecuencia a nivel del espacio discal T12-L1 o a la altura de la plataforma superior de L1. Por lo tanto, se logró confirmar en este estudio que un origen alto de la arteria renal es un factor de riesgo para atrapamiento de misma. Es particularmente significativo cuando coexiste un origen alto de la arteria renal con un hiato diafragmático estrecho. (4)/p>

El correcto diagnóstico de atrapamiento de la arteria renal es dificultoso pero crucial. Las investigaciones dependen de un alto índice de sospecha e incluyen la ecografía Doppler y la Angio-Tomografía computada (5). En 1995, Kopecky et al. reportan el primer caso de atrapamiento de la arteria renal mediante Angio-Tomografía Computada. Desde entonces este método de imagen es considerado el “gold standard” para el diagnostico de esta entidad. (6)

La ecografía Doppler proporciona información hemodinámica del flujo sanguíneo tanto en la arteria renal como en las arterias intrarrenales, y particularmente en esta patología permite realizar un estudio dinámico del flujo sanguíneo durante el ciclo respiratorio (en inspiración y en espiración). Evalúa la presencia de estenosis y los cambios en las velocidades de flujo en la arteria renal durante el ciclo respiratorio, lo cual es altamente sugerente de una compresión vascular extrínseca de origen diafragmático.
En los casos de atrapamiento severo, los cambios en las velocidades de flujo de la arteria renal “atrapada” durante el ciclo respiratorio pueden disminuir o incluso desaparecer (5), es decir, el atrapamiento es fijo y permanente. Sin embargo, el ultrasonido no permite un adecuado análisis de la relación entre la arteria renal y estructuras musculares adyacentes. La arteriografía convencional tiene esta misma desventaja. La Tomografía Computada (TC) y la Resonancia Magnética (RM) visualizan adecuadamente el diafragma y sus relaciones con la aorta y sus ramas.

Una gran ventaja de la TC en comparación con la RM, es la visualización de lesiones arteroescleróticas. (6) De todas formas, la TC puede sobreestimar la estenosis debido a que la arteria a menudo se deforma sin estrechamiento significativo de su luz. Además, algunas de estas compresiones desaparecen durante la espiración, mientras la TC es realizada durante la inspiración. A la inversa, la angiografía puede subestimar la estenosis porque puede ser difícil lograr un enfoque que separe el segmento inicial de la arteria renal de la aorta, ya que la arteria renal se comprime contra ella. Por lo tanto, a veces puede ser difícil evaluar el rol del atrapamiento de la arteria renal en la generación de hipertensión sistémica. En estos casos, la ecografía Doppler y la medición de la presión intraarterial pueden ser útiles. (4)

La hipertensión en un paciente joven sin otros factores de riesgo cardiovasculares sugiere en primer lugar displasia fibromuscular. Esta patología suele afectar distalmente a la arteria renal, y respeta las otras ramas viscerales de la aorta. La presencia de estenosis proximal de la arteria renal, asociada o no a la compresión de otras ramas viscerales, debe hacer sospechar el Síndrome de atrapamiento por la crura diafragmática (4). Thony et al. demostraron mediante arteriografía dos características que sugieren dicho síndrome: sector proximal de la arteria renal con un trayecto descendente, paralelo y muy cercano a la aorta abdominal, y la presencia de estenosis proximal u ostial concéntrica y corta en un paciente sin ateromatosis. (2)

Tanto la cirugía como los tratamientos endovasculares (colocación de stent) se han utilizado en esta entidad, pero el tratamiento quirúrgico debe ser individualizado según cada caso particular teniendo en cuenta la anatomía y datos funcionales.
Cuando la estenosis es secundaria a una compresión vascular extrínseca de causa muscular, las complicaciones asociadas a la colocación de stent están vinculadas a la flexión o rotura del dispositivo. Adicionalmente, el movimiento del diafragma induce desplazamiento de los riñones durante la respiración y fuerzas tanto de flexión y torsión en las arterias renales. Esta flexión puede conducir a la fractura del stent y re-estenosis.
Bilici et al. han investigado el uso de inyección de toxina botulínica directamente en la crura diafragmática guiado bajo Tomografía Computada como alternativa a la cirugía, pero este método aún se encuentra en evaluación. (1)

Conclusiones

El atrapamiento de la arteria renal por la crura diafragmática debe ser investigado en estenosis proximales de la arteria renal en pacientes jóvenes con hipertensión arterial sin otro factor de riesgo cardiovascular. El diagnóstico definitivo es posible mediante Angio-Tomografía Computada. La ecografía Doppler proporciona información hemodinámica altamente sugerente de atrapamiento de la arteria renal que contribuye a confirmar el diagnóstico. Una vez que el Síndrome de atrapamiento de la arteria renal se confirma, el manejo quirúrgico debe ser considerado.

BIBLIOGRAFIA

  • Singham S, et al. Left main renal artery entrapment by diaphragmatic crura: spiral CT angiography. Biomed Imaging Interv J 2010; 6(2):e11. DOI: 10.2349/biij.6.2.e11.

  • Thony F, et al. Renal artery entrapment by the diaphragmatic crus. Eur Radiol. 2005, 15: 1841–1849. DOI 10.1007/s00330- 005-2710-4.

  • Esen K, et al. The effect of anatomic differences on the relationship between renal artery and diaphragmatic cruz. Folia Morphol. 2018, 77 (1). DOI: 10.5603/FM.a2017.0073.

  • Arazinska A, et al. Renal artery entrapment: anatomical risk factors rating. Folia Morphol. 2016, 75(4). DOI: 10.5603/ FM.a2016.0017.

  • Deglise S, et al. Bilateral renal artery entrapment by diaphragmatic crura: a rare cause of renovascular hypertension with a specific management. J Comput Assist Tomogr. May/June 2007, 31(3):481-4.

  • Gaebel G, Hinterseher I, Saeger H D, Bergert H. Compression of the left renal artery and celiac trunk by diaphragmatic crura. J Vasc. Surg, Oct 2009, 50(4)DOI:10,1016/j.jvs.2009.05.004.

  • Ozmen CA, et al. An unusual reason for renovascular hypertension: entrapment of an accessory renal artery by the diaphragmatic crus. J. Vasc. Inter.Radiol, Octuber 2006. DOI: 10.1097/01. RVI.0000240727.46618.12

  • Dure Smith P et al. Renal artery entrapment by the diaphragmatic crus revealed by helical CT angiography. AJR:170, May 1998. DOI:10,2214/ajr,170,5,9574603.


* Residente de Imagenología

** Asistente Depto. de Imagenología del Hospital de Clínicas

* Prof. Adj. Depto. de Imagenología del Hospital de Clínicas

Volver al principio